Restorative Dentistry
At Picasso Dental Studio, we believe every smile tells a story, and we’re here to help you restore yours. Known as one of the best dental clinics in Kolkata, our centre is led by Dr. Soham Chatterjee, an award-winning restorative dentist and implantologist with expertise in both aesthetics and function.
Whether you’re dealing with decay, fractures, or missing teeth, our restorative dental treatments are designed to bring back your tooth’s natural strength, structure, and smile – seamlessly and painlessly.
Let's understand a little more..
What We Offer: Restorative Dental Solutions
Restorative therapy isn’t just about fixing teeth, it’s about rebuilding your bite and restoring your confidence. At Picasso Dental Studio, our range of restorative procedures includes:
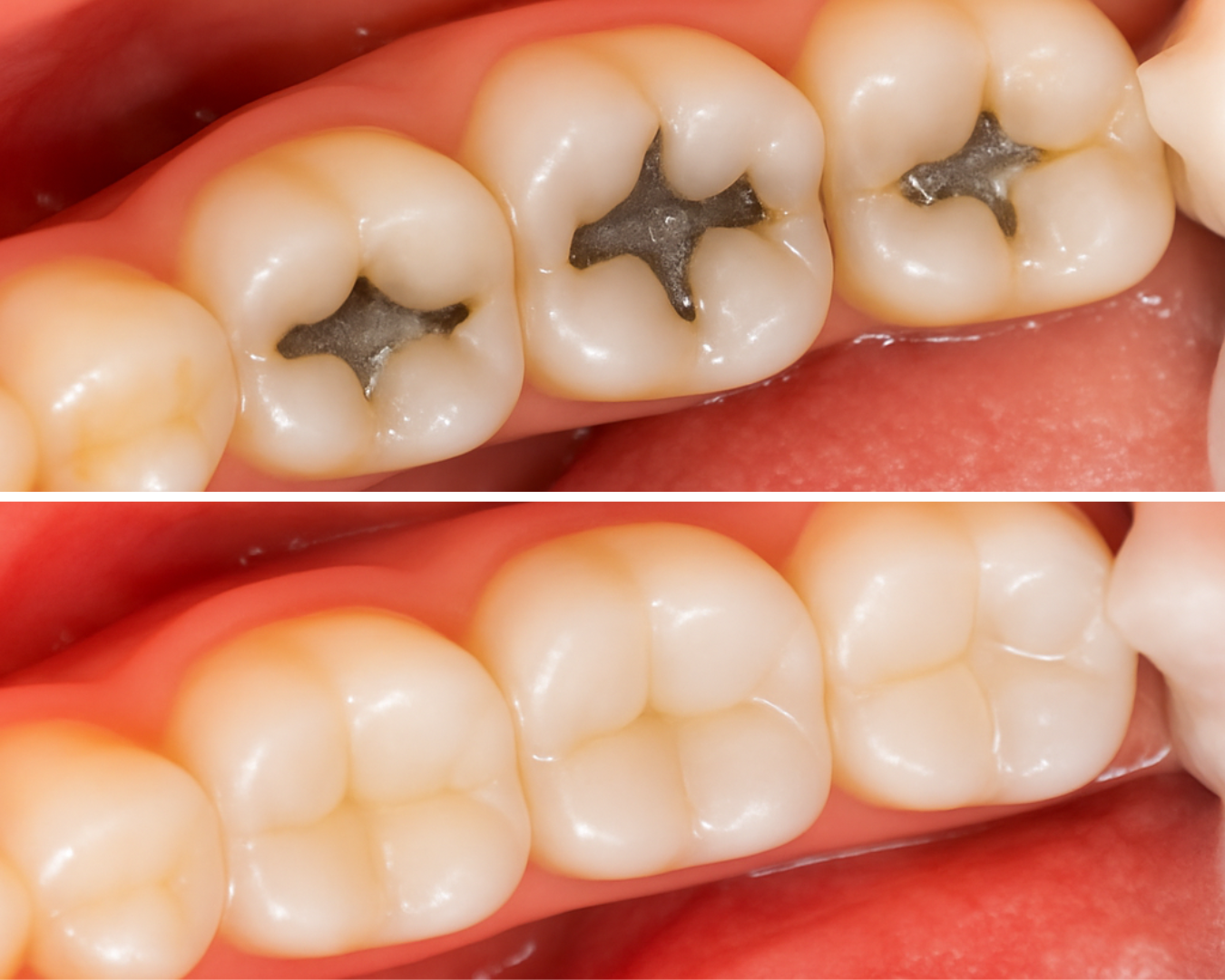
- Tooth-Coloured Fillings
- Inlays and Onlays
- Deep Caries Management
- Post & Core Rebuilds
- Crown & Bridge Restorations
Now let us understand the
The Building Blocks of Restorative Dental Therapy

Tooth-Coloured Fillings
Replaces decayed or worn-out tooth structure with natural-looking material, restoring function while blending seamlessly with your smile.

Inlays and Onlays
Reinforce moderately damaged teeth by replacing the compromised portion with durable, custom-made ceramic or composite restorations.

Deep Caries Management
Preserves tooth structure by removing deep decay before it reaches the nerve, helping prevent the need for a root canal.

Post & Core Rebuilds
Reconstructs severely broken-down teeth by building a stable foundation for crown placement following root canal therapy.
Request a Consultation
Please fill in your details in the form below to schedule a consultation with our Dental Experts
Frequently Asked Questions
No. Most restorative treatments are done under local anaesthesia. Patients report minimal discomfort.
With proper care and hygiene, crowns can last 10–15 years, and fillings often last 5–10 years.
Most patients resume normal activity the same day. Sensitivity may persist for a few days.
Depending on your policy, most restorative treatments like crowns and fillings are partially covered. We assist with documentation.
Before
After
