Smile Designing
At Picasso Dental Studio, Kolkata, we create confident, radiant smiles through personalised smile designing and cutting-edge gum aesthetic procedures. Recognised among the best dental clinics in India, our expertise extends to perioplastic surgeries, a specialised branch of periodontics focused on enhancing the harmony of your gums and smile.
Led by one of India’s leading experts in this field, our treatments, ranging from veneers and teeth whitening to precision gum contouring, are tailored to improve not just how your teeth look, but how your entire smile comes together. Experience results that are beautifully natural, long-lasting, and backed by clinical precision.
Let's understand a little more..
When is Smile Designing considered ?
Smile Designing can address a variety of aesthetic concerns, including:
- Chipped or cracked teeth
- Gaps or spaces between teeth
- Tooth discoloration and staining
- Misaligned or uneven teeth
If you’re dissatisfied with your smile’s appearance, Smile Designing might be the perfect solution.
Tooth Gap
Missing Tooth
Teeth Abrasion
Teeth Crowding
Now let us understand the
Types of Smile Designing

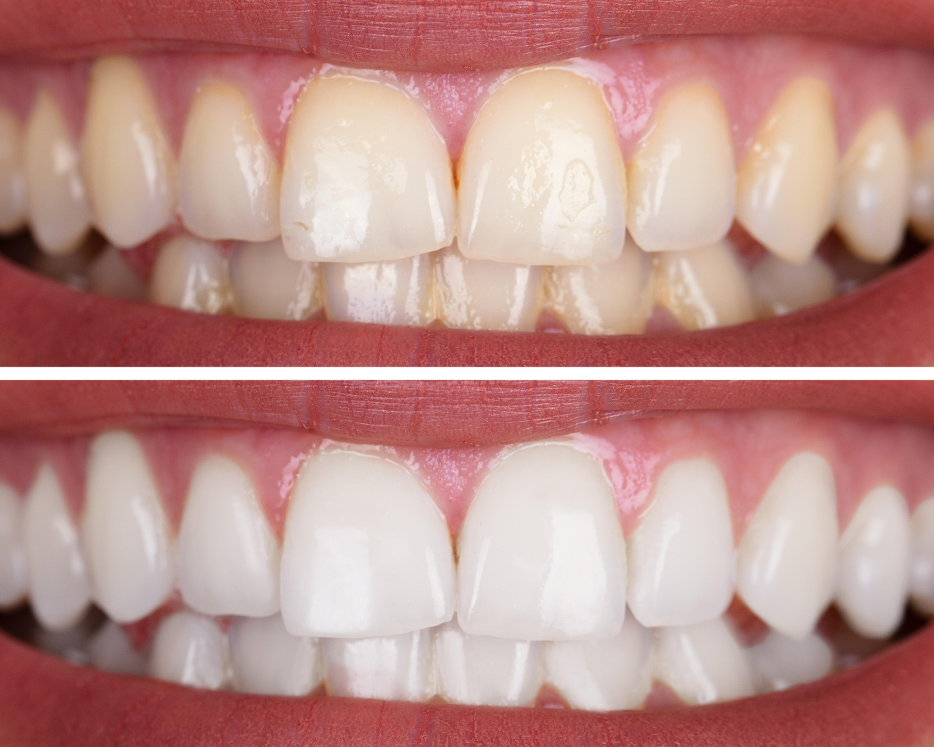
Teeth Whitening
Professional teeth whitening removes stains caused by coffee, tea, or dark-coloured foods, restoring the natural brightness of your teeth.
In-Office Whitening: A quick short appointment procedure for instant results.
At-Home Whitening Kits: Custom trays for gradual whitening over a couple of weeks.

Porcelain Veneers
Transform your smile with custom porcelain veneers that:
• Conceal cracks, stains, and crookedness.
Provide a straight, white, and flawless appearance.
• Perfect for both minor adjustments and complete smile makeovers, veneers are a versatile solution for enhancing your smile instantly.

Gum Contouring
Correct a “gummy smile” or uneven gum line with precision gum contouring. By removing excess gum tissue and reshaping the gum line, you’ll achieve a symmetrical and balanced smile.
Request a Consultation
Please fill in your details in the form below to schedule a consultation with our Dental Experts
Frequently Asked Questions
Smile Designing is a specialised branch of dental care that improves the aesthetics of your teeth and gums while maintaining functionality. It addresses issues like discolouration, misalignment, gaps, and chipped teeth to deliver a stunning smile.
If you’re unhappy with the look of your teeth or gums, cosmetic dentistry can help. Consult with our experts at Picasso Dental Studio Kolkata to determine the best treatments tailored to your unique needs.
The longevity of Smile Designing treatments varies:
- Teeth Whitening: Lasts several months to years with proper care.
- Veneers: Can last 10–15 years or more with good oral hygiene.
- Crowns: Durable for 10–15 years with regular dental check-ups.
- Orthodontic Treatments: Permanent with consistent retainer use.
- Dental Implants: Lifetime results with proper maintenance.
- Composite Bonding: Stays intact for 5–10 years with touch-ups.
Before
After
Before
After
Before
After
